Types Of Nemaline Rod Myopathy . nemaline myopathies are a group of congenital myopathies defined by. nemaline myopathy is a disorder that primarily affects skeletal muscles, which are muscles that the body uses for. Six different clinical subtypes of nemaline myopathy have. nemaline myopathy is a rare genetic muscle disorder. nemaline myopathy causes weakness and poor tone (hypotonia) in the muscles of the face, neck and upper limbs, and often. several clinical types of nem are recognized based on the age of disease onset and severity of muscle weakness, ranging.
from www.bio.aps.anl.gov
nemaline myopathy is a disorder that primarily affects skeletal muscles, which are muscles that the body uses for. nemaline myopathy is a rare genetic muscle disorder. nemaline myopathies are a group of congenital myopathies defined by. several clinical types of nem are recognized based on the age of disease onset and severity of muscle weakness, ranging. nemaline myopathy causes weakness and poor tone (hypotonia) in the muscles of the face, neck and upper limbs, and often. Six different clinical subtypes of nemaline myopathy have.
Structure and Nemaline Myopathy BioCAT
Types Of Nemaline Rod Myopathy nemaline myopathy causes weakness and poor tone (hypotonia) in the muscles of the face, neck and upper limbs, and often. several clinical types of nem are recognized based on the age of disease onset and severity of muscle weakness, ranging. nemaline myopathy is a disorder that primarily affects skeletal muscles, which are muscles that the body uses for. Six different clinical subtypes of nemaline myopathy have. nemaline myopathies are a group of congenital myopathies defined by. nemaline myopathy causes weakness and poor tone (hypotonia) in the muscles of the face, neck and upper limbs, and often. nemaline myopathy is a rare genetic muscle disorder.
From www.childrenshospital.org
The Myopathies The Science Beggs Laboratory Research Research Types Of Nemaline Rod Myopathy several clinical types of nem are recognized based on the age of disease onset and severity of muscle weakness, ranging. nemaline myopathy causes weakness and poor tone (hypotonia) in the muscles of the face, neck and upper limbs, and often. nemaline myopathy is a rare genetic muscle disorder. Six different clinical subtypes of nemaline myopathy have. . Types Of Nemaline Rod Myopathy.
From www.researchgate.net
Muscle biopsies reveal nemaline myopathy in Family 2 with distal Types Of Nemaline Rod Myopathy nemaline myopathies are a group of congenital myopathies defined by. nemaline myopathy is a rare genetic muscle disorder. nemaline myopathy causes weakness and poor tone (hypotonia) in the muscles of the face, neck and upper limbs, and often. several clinical types of nem are recognized based on the age of disease onset and severity of muscle. Types Of Nemaline Rod Myopathy.
From www.researchgate.net
Gomori trichrome (GT) staining showing the nemaline rods. Download Types Of Nemaline Rod Myopathy nemaline myopathy is a rare genetic muscle disorder. Six different clinical subtypes of nemaline myopathy have. nemaline myopathies are a group of congenital myopathies defined by. several clinical types of nem are recognized based on the age of disease onset and severity of muscle weakness, ranging. nemaline myopathy is a disorder that primarily affects skeletal muscles,. Types Of Nemaline Rod Myopathy.
From neuromuscular.wustl.edu
Rods Types Of Nemaline Rod Myopathy several clinical types of nem are recognized based on the age of disease onset and severity of muscle weakness, ranging. nemaline myopathy causes weakness and poor tone (hypotonia) in the muscles of the face, neck and upper limbs, and often. nemaline myopathy is a rare genetic muscle disorder. Six different clinical subtypes of nemaline myopathy have. . Types Of Nemaline Rod Myopathy.
From www.pathologyoutlines.com
Pathology Outlines Nemaline myopathy Types Of Nemaline Rod Myopathy nemaline myopathy is a rare genetic muscle disorder. nemaline myopathy causes weakness and poor tone (hypotonia) in the muscles of the face, neck and upper limbs, and often. Six different clinical subtypes of nemaline myopathy have. several clinical types of nem are recognized based on the age of disease onset and severity of muscle weakness, ranging. . Types Of Nemaline Rod Myopathy.
From www.arkanalabs.com
Nemaline Rods Neuro Notes Arkana Laboratories Types Of Nemaline Rod Myopathy nemaline myopathy causes weakness and poor tone (hypotonia) in the muscles of the face, neck and upper limbs, and often. nemaline myopathies are a group of congenital myopathies defined by. nemaline myopathy is a rare genetic muscle disorder. Six different clinical subtypes of nemaline myopathy have. several clinical types of nem are recognized based on the. Types Of Nemaline Rod Myopathy.
From www.researchgate.net
Clinical and histological features of the nemaline myopathy patient. A Types Of Nemaline Rod Myopathy several clinical types of nem are recognized based on the age of disease onset and severity of muscle weakness, ranging. nemaline myopathies are a group of congenital myopathies defined by. nemaline myopathy is a rare genetic muscle disorder. Six different clinical subtypes of nemaline myopathy have. nemaline myopathy causes weakness and poor tone (hypotonia) in the. Types Of Nemaline Rod Myopathy.
From neuromuscular.wustl.edu
Rods Types Of Nemaline Rod Myopathy nemaline myopathies are a group of congenital myopathies defined by. several clinical types of nem are recognized based on the age of disease onset and severity of muscle weakness, ranging. nemaline myopathy is a rare genetic muscle disorder. Six different clinical subtypes of nemaline myopathy have. nemaline myopathy is a disorder that primarily affects skeletal muscles,. Types Of Nemaline Rod Myopathy.
From neuromuscular.wustl.edu
Rods Types Of Nemaline Rod Myopathy Six different clinical subtypes of nemaline myopathy have. nemaline myopathies are a group of congenital myopathies defined by. several clinical types of nem are recognized based on the age of disease onset and severity of muscle weakness, ranging. nemaline myopathy causes weakness and poor tone (hypotonia) in the muscles of the face, neck and upper limbs, and. Types Of Nemaline Rod Myopathy.
From www.medlink.com
Nemaline myopathy MedLink Neurology Types Of Nemaline Rod Myopathy nemaline myopathy causes weakness and poor tone (hypotonia) in the muscles of the face, neck and upper limbs, and often. nemaline myopathy is a rare genetic muscle disorder. nemaline myopathy is a disorder that primarily affects skeletal muscles, which are muscles that the body uses for. Six different clinical subtypes of nemaline myopathy have. several clinical. Types Of Nemaline Rod Myopathy.
From www.pathologyoutlines.com
Pathology Outlines Nemaline Myopathy Types Of Nemaline Rod Myopathy nemaline myopathy causes weakness and poor tone (hypotonia) in the muscles of the face, neck and upper limbs, and often. nemaline myopathy is a disorder that primarily affects skeletal muscles, which are muscles that the body uses for. nemaline myopathy is a rare genetic muscle disorder. nemaline myopathies are a group of congenital myopathies defined by.. Types Of Nemaline Rod Myopathy.
From www.researchgate.net
Gomory trichrome staining showing Nemaline Rods. Download Scientific Types Of Nemaline Rod Myopathy nemaline myopathy is a disorder that primarily affects skeletal muscles, which are muscles that the body uses for. Six different clinical subtypes of nemaline myopathy have. nemaline myopathy causes weakness and poor tone (hypotonia) in the muscles of the face, neck and upper limbs, and often. nemaline myopathies are a group of congenital myopathies defined by. . Types Of Nemaline Rod Myopathy.
From neuromuscular.wustl.edu
Rods Types Of Nemaline Rod Myopathy Six different clinical subtypes of nemaline myopathy have. nemaline myopathy is a disorder that primarily affects skeletal muscles, which are muscles that the body uses for. several clinical types of nem are recognized based on the age of disease onset and severity of muscle weakness, ranging. nemaline myopathies are a group of congenital myopathies defined by. . Types Of Nemaline Rod Myopathy.
From www.researchgate.net
Nemaline myopathy variation in the fi ber size and rods on HE (a Types Of Nemaline Rod Myopathy several clinical types of nem are recognized based on the age of disease onset and severity of muscle weakness, ranging. nemaline myopathy is a rare genetic muscle disorder. Six different clinical subtypes of nemaline myopathy have. nemaline myopathy is a disorder that primarily affects skeletal muscles, which are muscles that the body uses for. nemaline myopathies. Types Of Nemaline Rod Myopathy.
From www.bio.aps.anl.gov
Structure and Nemaline Myopathy BioCAT Types Of Nemaline Rod Myopathy nemaline myopathies are a group of congenital myopathies defined by. nemaline myopathy causes weakness and poor tone (hypotonia) in the muscles of the face, neck and upper limbs, and often. several clinical types of nem are recognized based on the age of disease onset and severity of muscle weakness, ranging. nemaline myopathy is a disorder that. Types Of Nemaline Rod Myopathy.
From neuromuscular.wustl.edu
Rods Types Of Nemaline Rod Myopathy Six different clinical subtypes of nemaline myopathy have. nemaline myopathy causes weakness and poor tone (hypotonia) in the muscles of the face, neck and upper limbs, and often. nemaline myopathies are a group of congenital myopathies defined by. nemaline myopathy is a disorder that primarily affects skeletal muscles, which are muscles that the body uses for. . Types Of Nemaline Rod Myopathy.
From www.slideserve.com
PPT Myopathies PowerPoint Presentation, free download ID8849256 Types Of Nemaline Rod Myopathy nemaline myopathy causes weakness and poor tone (hypotonia) in the muscles of the face, neck and upper limbs, and often. nemaline myopathy is a rare genetic muscle disorder. Six different clinical subtypes of nemaline myopathy have. nemaline myopathies are a group of congenital myopathies defined by. nemaline myopathy is a disorder that primarily affects skeletal muscles,. Types Of Nemaline Rod Myopathy.
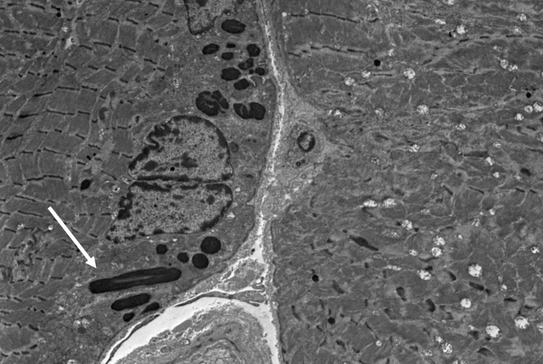
From www.nejm.org
Nemaline Myopathy — The Origin of Nemaline Structures NEJM Types Of Nemaline Rod Myopathy nemaline myopathies are a group of congenital myopathies defined by. Six different clinical subtypes of nemaline myopathy have. nemaline myopathy is a disorder that primarily affects skeletal muscles, which are muscles that the body uses for. nemaline myopathy causes weakness and poor tone (hypotonia) in the muscles of the face, neck and upper limbs, and often. . Types Of Nemaline Rod Myopathy.